Hernie de disc
Ce este hernia de disc?
Pe masura ce inaintam in varsta fiecare dintre noi suferim de degenerscenta sistemului osteoarticular. Astfel, discul intervertebral se deshidrateaza si isi pierde din inaltime si implicit si proprietatile de amortizor de socuri. Acest lucru permite inelului fibros sa isi piarda structura de rezistenta si sa se deterioreze, ceea ce determina o protruzionare a nucleului pulpos. Aceasta este considerata o protruzie discala.

Pe masura ce degenerscenta discala continua, nucleul pulpos se poate rupe de inelul fibros si poate comprima o radacina nervoasa sau chiar sacul dural daca este de dimensiuni mari. Aceasta este considerata o hernie discala si poate cauza durere radiculara, pierderea fortei unei anumite grupe musculare, tulburari senzitive, etc.
Localizarea cea mai frecventa a herniei de disc este la nivelurile L4-L5 si L5-S1 pentru hernia lombara si la nivelurile C5-C6 si C6-C7 pentru hernia de disc cervicala.
Notiuni anatomice
Coloana vertebrala este compusa din 33 de vertebre separate prin discuri si care sunt clasificate in patru zone distincte: zona cervicala (7 vertebre), zona dorsala (12 vertebre), zona lombara (5 vertebre), zona sacrala (5 vertebre fuzionate) si coccisul (format din 4 vertebre fuzionate).
Hernia de disc apare cu predilectie la nivelul regiunii lombare si cervicale a coloanei spinale care este compusa din corpuri vertebrale (partea osoasa) si discuri intervertebrale (partea cartilaginoasa care functioneaza ca si absorbant de socuri).
Discul intervertebral este compus din doua parti:
- inelul fibros situat la exterior
- nucleul pulpos situat la interiorul inelului fibros si care are o consitenta mai gelatinoasa.
Cum se manifesta hernia de disc?
Simptomele depind de localizarea herniei de disc si de radacina nervoasa cu care este in contact. Fiecare persoana poate experimenta simptome diferite. Printre cele mai frecvente se numara:
- dureri lombare intermitente sau continue agravate de miscare, tuse, stranut sau statul in picioare prelungit.
- spasmul muschilor lombari
- sciatica (durere care incepe la nivelul lombar sau al feselor si care iradiaza la nivelul labei piciorului)
- pareze ale piciorului
- diminuarea sensibilitatii piciorului
- diminuarea reflexelor la nivelul genunchiului sau calcaiului
- incontinenta urinara si/sau fecala
Manifestari pentru hernia de disc cervicala:
- dureri cervicale intermitente sau continue agravate de miscare, tuse, stranut sau statul in picioare prelungit.
- spasmul muschilor cervicali
- brahialgia (durere care incepe la nivel cervical si care iradiaza la nivelul membrelor)
- spasmul muschilor cervicali
- pareze ale membrelor superioare
- diminuarea sensibilitatii la nivelul membrelor superioare
- diminuarea reflexelor osteotendinoase
Cum se diagnosticheaza hernia de disc?
- istoricul medical si examenul clinic
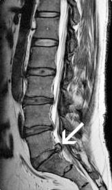
- RMN-ul este examenul cel mai pertinent
- CT scan
- Mielografie
Tratamentul herniei de disc
Dr. Seremet trateaza herniile de disc(fara interventie chirurgicala) printr-un complex de tratamente dezvoltat de-a lungul anilor, avand o experienta in tratarea acestei probleme de peste 20 de ani. Pacientii ce nu vor sa se opereze se pot adresa Doctorului Seremet prin una din metodele enumerate aici: CONTACT
Pentru a trata hernia de disc fara operatie, adresati-va acum.